Medical
診療内容
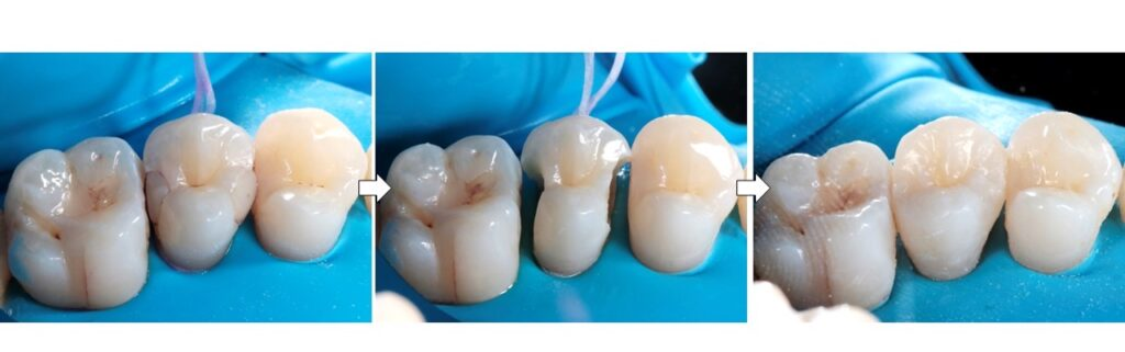
ダイレクトボンディングとは、修復が必要な部位に「コンポジットレジン」と呼ばれる歯科用プラスチックを直接盛り付け、特殊な光で硬化させて歯の形態を整える治療法です。
従来の詰め物(インレー)とは異なり、型取りの必要がないため、歯を削る量を最小限に抑えられるのが大きな特徴です。
「前歯のすき間を埋めたい」「欠けた歯を自然な形に戻したい」といった、患者様一人ひとりのお悩みに合わせたオーダーメイドの治療をご提案いたします。
保険診療との大きな違いは、使用する材料と、歯の形態・色彩を精密に整える工程にあります。
ダイレクトボンディングでは、単に歯の色を合わせるだけでなく、天然歯のような立体感を再現するために数種類の材料を層状に重ねていきます。
そのため、一般的な保険適用のコンポジットレジン治療に比べ、格段に自然で審美的な仕上がりとなります。
・長年使用している銀歯を、自然な白い歯に替えたい方
・前歯の隙間(すきっ歯)が気になり、思い切り笑えない方
・欠けてしまった歯の形を、美しく自然に整えたい方
・健康な歯を最大限に残し、削る量を抑えて虫歯治療をしたい方

メリット
デメリット
左上7(O)1面

右下6(O)2面

右上5(MOD)3面

右下6(OD)、右下(MO)2面×2歯
